SABCS中国之声丨张聚良教授:3D打印生物可降解材料助力乳腺癌患者个性化乳房重建

作者:肿瘤瞭望   日期:2024/12/17 11:01:47  浏览量:6364

肿瘤瞭望版权所有,谢绝任何形式转载,侵犯版权者必予法律追究。

乳腺癌是全球女性中最常见的癌症。对于已经进行全乳房切除术和部分切除手术的患者而言,乳房重建可以改善乳房缺失女性的心理和身体健康。近期乳腺癌领域顶级盛会2024年圣安东尼奥乳腺癌研讨会(SABCS)举行,空军军医大学西京医院张聚良教授团队一项3D打印生物可降解材料用于乳房重建的研究入选(P4-04-42),有望为乳房重建患者带来新的选择。

编者按:乳腺癌是全球女性中最常见的癌症。对于已经进行全乳房切除术和部分切除手术的患者而言,乳房重建可以改善乳房缺失女性的心理和身体健康。近期乳腺癌领域顶级盛会2024年圣安东尼奥乳腺癌研讨会(SABCS)举行,空军军医大学西京医院张聚良教授团队一项3D打印生物可降解材料用于乳房重建的研究入选(P4-04-42),有望为乳房重建患者带来新的选择。
 
研究背景
 
目前,乳腺癌患者进行保乳手术时面临的挑战之一为缺乏合适的乳腺填充物,这一限制对患者的身心健康造成了严重影响。然而,3D打印技术的发展为解决这一问题提供了新的可能性。通过3D打印技术,可以精确构建与患者缺损乳腺组织大小相匹配的植入物,从而为乳房重建带来了新的希望和可能性。
 
研究方法
 
该研究开展了一项前瞻性的单臂临床试验,以评估在乳房重建中使用3D打印支架的可行性和有效性。该研究纳入了不适合传统保乳手术的乳腺癌患者,其特征为原发肿瘤大小在1.0厘米至8.0厘米之间,或存在局限于单个象限的多发性弥漫性病变。手术前一周,依据每位患者的磁共振成像(MRI)数据制作3D打印支架。患者接受了个性化的可降解乳腺支架植入乳房重建手术,并进行了长期随访。该研究重点评估了接受个性化3D打印支架部分乳房重建手术的安全性和美容效果。除此之外,还研究了支架的降解率、术后并发症,以及患者对该种乳房重建手术的满意度。
 
研究结果
 
在2016年8月至2023年8月期间,26名患者接受了个性化3D打印支架部分乳房重建手术。中位随访期为58.9个月,随访期范围29个月~88个月。
 
术后结果显示,植入物在术后的不同时间均能够维持自然且与对侧对称的乳腺外形。所有患者的乳头和乳晕区域均未出现皮瓣坏死或缺血情况;无患者报告功能性肢体功能障碍。术后1个月,12位患者有肿胀、疼痛或异物感,三个月后症状消失。术后1年组织学分析显示,支架内部及周围存在纤维结缔组织、成纤维细胞和血管。伴随着支架内的自体组织再生,3D打印支架在体内逐渐降解,平均降解率在12个月时为54.07%,24个月时为74.48%,36个月时为86.94%,48个月时为87.36%,60个月时为92.76%。
 
通过填写“乳房满意度量表(Breast-Q)”,得到的患者乳房满意度评分在术后6个月为68.5±15.7,12个月为65.4±14.2,24个月为62.8±15.9。
 
接受3D打印支架乳房重建的26位患者的5年无病生存(DFS)率为88.5%,总体生存(OS)率为96.2%。40岁以上的患者中,5年DFS和OS率均为100%。1位患者发生了同侧乳腺肿瘤复发,并在术后32个月进行了全乳切除术。2位患者发生远处转移:1位患者在术后30个月发生了肝转移,另1位患者发生了脑转移并在术后21个月去世。
 
研究结论
 
本研究是关于应用3D打印可生物降解支架进行乳房重建的首份报告。该研究的结果表明,对于不适合传统保乳手术的乳腺癌患者而言,使用3D打印支架进行部分乳房重建是一种很有前景的替代方案,在安全性、美学效果以及患者满意度方面均取得了良好的结果。
 
图1患者术后6个月、1年和2年完成BREAST-Q评分量表结果
 
 
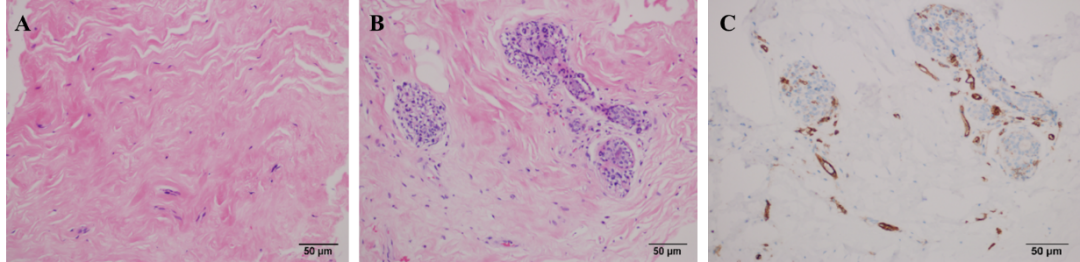
图2 3D打印支架移植到人体内一年后的穿刺活检结果。(A-B)3D打印支架内组织的HE染色结果;(C)3D打印支架内组织的CD31免疫组织化学分析。在支架内部/周围观察到的纤维结缔组织、成纤维细胞和血管表明了支架的良好生物相容性。
 
图3患者术前和术后不同时间的核磁共振图像。由核磁共振图像评估3D打印支架的降解性能。
 
图4 3D打印支架降解速率
 
张聚良教授
空军军医大学西京医院甲乳血管外科
副主任医师,副教授,博士,硕士研究生导师
中华医学会肿瘤学分会乳腺学组委员
中国抗癌协会中西整合乳腺癌专委会委员
陕西省医师协会乳腺甲状腺分会总干事
陕西省抗癌协会癌症筛查与早诊早治专委会副主任委员
陕西省抗癌协会乳腺癌专业委员会常委
陕西省抗癌协会药物治疗专业委员会常委

 

本内容仅供医学专业人士参考


乳腺癌

分享到: 更多