当前位置:肿瘤瞭望>资讯>快讯>正文

靶向优先,胃爱而行 | 一例HER2阳性胃癌术后肺转移的病例分享

作者:肿瘤瞭望   日期:2022/4/25 19:52:11  浏览量:25182

肿瘤瞭望版权所有,谢绝任何形式转载,侵犯版权者必予法律追究。

HER2阳性胃癌是一种特殊类型的胃癌,其复发转移机率较高,预后更差,易通过血行转移至肝肺等重要脏器。曲妥珠单抗的应用极大的改善了HER2阳性胃癌患者的预后和生存。汉曲优?作为国内首个上市的曲妥珠单抗生物类似药,疗效等同于原研曲妥珠单抗。本文通过一例HER2阳性胃癌术后肺转移使用汉曲优?联合化疗药物进行治疗的病例,探讨了抗HER2治疗在HER2阳性晚期胃癌肺转移中的应用价值。

▌病例作者:荆门市第二人民医院 杨士勇教授

▌点评专家:华中科技大学同济医学院附属同济医院 邱红教授
 
编者按
 
●HER2阳性胃癌是一种特殊类型的胃癌,其复发转移机率较高,预后更差,易通过血行转移至肝肺等重要脏器。曲妥珠单抗的应用极大的改善了HER2阳性胃癌患者的预后和生存。汉曲优®作为国内首个上市的曲妥珠单抗生物类似药,疗效等同于原研曲妥珠单抗。本文通过一例HER2阳性胃癌术后肺转移使用汉曲优®联合化疗药物进行治疗的病例,探讨了抗HER2治疗在HER2阳性晚期胃癌肺转移中的应用价值。(注:本文中汉曲优®为复宏汉霖研发生产的曲妥珠单抗生物类似药)
 
病史简介
 
患者:刘某某,男,69岁,51kg。
 
主诉:胃癌术后近3年,肺转移术后1年余。
 
既往史: 冠心病史5年余,脂肪肝病史5年余。
 
手术史:2019年3月行“腹腔镜下远端胃切除术+腹腔淋巴结清扫术+胃空肠吻合术”;2021年1月行“胸腔镜右肺中叶切除术+纵膈淋巴结清扫+胸腔粘连松懈术”。
 
家族史:否认肿瘤家族史。
 
查体:生命体征正常,ECOG 0-1分,胸部及腹部见术后瘢痕,愈合良好。双侧颈部、锁骨上、腋下未及肿大淋巴结。
 
▌影像学检查
 
2019年3月胃癌根治术前胸部CT正常,未见明显转移灶。
 
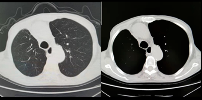
随诊:2020年7月17日胸部CT(图1)右中肺新发小结节,考虑转移。
 
图1.2020年随诊胸部CT
 
随诊:2021年1月3日胸部CT:右中肺结节增大,考虑转移。
 
图2. 2021年随诊胸部CT
 
▌肿瘤基本病理
 
① 2019年3月行“腹腔镜下远端胃切除术+腹腔淋巴结清扫术+胃空肠吻合术”;
 
术后病理提示(图3):胃中分化腺癌累及胃壁全层,伴小弯侧淋巴结8/14枚癌转移(可见脉管内癌栓,未见神经侵犯),两断端、大弯侧淋巴结4枚及第4组淋巴结1枚未见癌。
 
免疫组化结果显示:Her-2(3+),Ki67(20%),CK8/18(+),CDX-2(-),VILLIN(+),CD20(-)
 
图3. 胃癌术后组织病理切片
 
② 2021年1月行“胸腔镜右肺中叶切除术+纵膈淋巴结清扫+胸腔粘连松懈术”。
 
术后病理提示(图4):右肺中叶转移性腺癌,考虑来源于胃。支气管旁淋巴结1枚未见癌转移;送检第2、4组淋巴结4枚,第7组淋巴结9枚,9组淋巴结2枚,10组淋巴结4枚,11组2枚均未见癌。
 
免疫组化结果显示:CK(+),Ki67(10%),CK8/18(+),TIF-1(-),NAPSIN A(+),CK7(+),CK5/6-,P40-,SYN-,CGA-,CD56-,CDX-2-,CK20-。(患者因自身原因术后未行HER2检测)于2021年3月补充免疫组化:Her-2(3+)。
 
图4. 胸腔镜右肺术后组织病理切片
 
▌临床诊断
 
既往诊断:胃中分化腺癌术后  PT3N3Am0 ⅢB期
 
再次术后诊断:1、肺继发性恶性肿瘤术后(转移性腺癌 HER2阳性) 2、胃癌术后复发。

治疗经过
 
2019年3月在我院行“腹腔镜下远端胃切除术+腹腔淋巴结清扫术+胃空肠吻合术” 。
 
2019年4月-2019年9月:放化疗+靶向治疗(FOLFOX方案+赫赛汀® 6周期+局部放疗)。
 
2019年10月-2020年7月:未行治疗及维持治疗,定期复查。
 
2020年7月17日胸部CT:右中肺新发小结节,考虑转移。根据患者意见未行治疗,继续随诊。
 
2021年1月3日胸部CT:右中肺结节增大,考虑转移。
 
2021年1月行“胸腔镜右肺中叶切除术+纵膈淋巴结清扫+胸腔粘连松懈术”。
 
2021年2月-2021年6月:我院行曲妥珠单抗(汉曲优®)+CapeOx方案化疗4周期 (其中第1、2周期为奥沙利铂150mg D1+卡培他滨1500mg bid d1-d14。,第3周期改为汉曲优®400mg 8mg/kg D1+奥沙利铂150mg D1+卡培他滨1500mg bid d1-d14。第4周期为汉曲优®300mg  6mg/kg D1+奥沙利铂150mg D1+卡培他滨1500mg bid d1-d14)。
 
2021年7月-至今:考虑患者身体状况中止化疗,采取单药曲妥珠单抗(汉曲优®)维持治疗(汉曲优®300mg 21天1周期)。
 
▌治疗后评价
 
最近一次全面复查:未见肿瘤复发。
 
2022年1月胸部CT(图5):
 
右肺中叶切除术后,未见明显肿瘤复发征像;
 
右侧少量胸腔积液较前吸收;
 
右肺慢性炎症较前相仿;
 
双肺少许感染已吸收;
 
左肺下叶间裂处小结节同前,建议随访;
 
脂肪肝,肝脏小囊肿;
 
胃癌术后改变。
 
图5.胸部CT影像
 
▌病例小结
 
该例患者既往诊断为ⅢB期胃中分化腺癌,在行“腹腔镜下远端胃切除术+腹腔淋巴结清扫术+胃空肠吻合术”术后2年复发。首次胃癌根治术后,行放化疗及6周期的抗HER2治疗,1年后CT提示出现肺转移。继续行“胸腔镜右肺中叶切除术+纵膈淋巴结清扫+胸腔粘连松懈术”。术后病理证实为胃癌转移至右肺。因此,该例患者在晚期胃癌的治疗过程中换用国产曲妥珠单抗,治疗至今未见肿瘤复发。
 
汉曲优®作为国内首个上市的曲妥珠单抗生物类似药,疗效等同于原研曲妥珠单抗,在这一胃癌伴肺转移的实例中,显示出其良好的控制效果,进一步延长无肿瘤进展期及OS,值得推荐。
 
专家点评
 
该例患者既往诊断为ⅢB期HER2阳性胃癌,术后2年出现肺部转移。从所有检查来看,考虑患者属于寡转移情况。对于胃癌局部复发或单一远处转移的治疗,目前缺乏大样本的前瞻性随机对照临床研究数据,据有关报道临床诊断胃癌 肺转移率为3%~6%,其中孤立性肺结节发生率为 0.3%~6.0%1-2。2021年版胃癌CSCO指南指出基本治疗策略按照复发转移性胃癌处理3,可选策略为个体化决策,对此类患者优先推荐 MDT 讨论。该患者2020年7月发现的新发右中肺小结节在随访至2021年1月期间,虽然结节有所增大,但仍然为寡转移状态,整体肿瘤负荷很小,显示该患者“瘤品”较佳,积极的优先手术干预治疗是非常合理的个体化选择,有助于在开展全身治疗前明确病灶性质。
 
虽然HER2阳性胃癌术后曲妥珠单抗辅助治疗缺乏证据,但复发再次实现NED之后的曲妥珠单抗的辅助治疗介入是非常值得探究的。因为相比肠癌而言,胃癌寡转移病灶实现NED之后复发概率可能会更高,个人更倾向于进行更为积极的治疗。该例患者既往第一次术后辅助阶段接受曲妥珠单抗联合FOLFOX方案,停止治疗至出现肺部结节时间为10个月左右,在此基础上第二次术后的辅助治疗方案选择目前缺乏RCT证据的支持。患者第二次术后辅助治疗方案选择了XELOX联合曲妥珠单抗生物类似药汉曲优®的治疗策略,维持了目前至今15个月的DFS时间。在肠癌IDEA研究中4,XELOX辅助治疗疗效有优于FOLFOX的趋势,胃癌是否同样值得我们思考。这个病例在第二次复发后长期采用汉曲优®维持治疗也给我们另外一些启示,持续的抗HER2治疗对复发患者可能会带来生存获益。ToGA5试验作为曲妥珠单抗用于HER2阳性晚期胃癌患者的里程碑性的试验,虽然研究设计中没有设计维持治疗策略,但真实世界中往往很多患者接受了这种维持治疗的策略。在该病例中,汉曲优®长期的巩固治疗,对第二次术后的DFS时间是有贡献的,并且再次佐证生物类似药与参照药的安全性相似,临床上可以替代使用6
 
参考文献
 
1.刘宏根, 杨佩颖. 胃癌寡转移局部治疗研究进展[J].
 
2.Nakanishi Y, Ohara M, Domen H, et al. Differences in risk factors between patterns of recurrence in patients after curative resection for advanced gastric carcinoma[J]. World J Surg Oncol, 2013, 11: 98.
 
3.中国临床肿瘤学会指南工作委员会. 胃癌诊疗指南2021版[J].
 
4.Grothey A , Sobrero A F , Shields A F , et al. Duration of Adjuvant Chemotherapy for Stage III Colon Cancer[J]. New England Journal of Medicine, 2018, 378(13):1177-1188.
 
5. Bang Y J , Cutsem E V , Feyereislova A , et al. Trastuzumab in combination with chemotherapy versus chemotherapy alone for treatment of HER2-positive advanced gastric or gastro-oesophageal junction cancer (ToGA): a phase 3, open-label, randomised controlled trial[J]. LANCET -LONDON-, 2010.
 
6. 生物类似药研发与评价技术指导原则(试行)
 
病例作者简介
 
 
杨士勇
 
主任医师
 
荆门市第二人民医院肿瘤内二科主任
 
湖北省免疫学会胸部肿瘤多学科协作委员会常委
 
湖北省抗癌协会鼻咽癌专业委员会委员
 
湖北省生物工程精确放疗委员会委员
 
中国临床肿瘤协会CSCO委员
 
湖北省临床肿瘤学会(ESCO)专家委员会委员
 
湖北省预防医学会妇科防治专业会委员
 
湖北省临床肿瘤学会妇科肿瘤专家委员会委员
 
荆门市医学会肿瘤分会主任委员
 
荆门市抗癌协会秘书长、常务理事
 
荆门市肿瘤康复协会秘书长
 
点评专家简介
 
 
邱红 教授
 
华中科技大学同济医学院附属同济医院消化系统肿瘤科  医疗副主任
 
教授,主任医师,博士生导师
 
中国抗癌协会靶向治疗专业青年委员会 副主任委员
 
中国抗癌协会肿瘤支持治疗青年委员会 副主任委员
 
中国女医师协会临床肿瘤专业委员会 常委
 
CSCO青年委员会 常委
 
CSCO药物安全委员会 委员
 
CSCO肝癌委员会 委员
 
CSCO胰腺癌委员会 委员
 
中国抗癌协会肿瘤营养学会 委员
 
中国抗癌协会肿瘤标志专业委员会 委员
 
世界华人肿瘤医师协会放射治疗肿瘤学协作组执行委员会 常委
 
湖北省抗癌协会癌症康复及姑息治疗委员会 常委兼秘书
 
武汉市医学会放疗专业委员会 委员
 
点击左下角阅读原文,更多汉曲优®优秀病例分享

 

本内容仅供医学专业人士参考


HER2阳性胃癌

分享到: 更多