当前位置:肿瘤瞭望>资讯>正文

优例共赏丨一例汉曲优联合帕妥珠单抗新辅助治疗HER2阳性的病例分享

作者:肿瘤瞭望   日期:2022/12/16 11:58:47  浏览量:11484

肿瘤瞭望版权所有,谢绝任何形式转载,侵犯版权者必予法律追究。

乳腺癌已成为全球女性发病率最高的恶性肿瘤,给患者身心健康造成极大威胁。其中HER2阳性乳腺癌大约占所有乳腺癌类型的15~20%,其侵袭性强、复发率高、预后不良。

▌病例作者:冉冉四川省肿瘤医院
▌点评专家:王浩四川省肿瘤医院
 
摘要:乳腺癌已成为全球女性发病率最高的恶性肿瘤,给患者身心健康造成极大威胁。其中HER2阳性乳腺癌大约占所有乳腺癌类型的15~20%,其侵袭性强、复发率高、预后不良。随着曲妥珠单抗问世,极大程度地改善了患者的预后和生存。汉曲优作为国内首个上市的曲妥珠单抗生物类似药,其疗效等同于原研曲妥珠单抗。本文通过一例HER2阳性乳腺癌使用汉曲优联合帕妥珠单抗以及化疗药物进行新辅助治疗的病例,探讨汉曲优在HER2阳性乳腺癌新辅助治疗中的疗效。(注:本文中曲妥珠单抗为复宏汉霖研发生产的汉曲优)
 
病例简介
 
患者:女,52岁。
 
主诉:发现右乳肿物1+年,确诊右乳浸润性癌1周。
 
婚育月经史:已婚育、G1P1,末次月经时间2021-09-08.
 
既往史:无高血压、糖尿病等慢性病史。
 
家族史:否认乳腺癌及其他恶性肿瘤家族史。
 
查体:双乳基本对称,右侧乳头凹陷,无溢血溢液。左侧乳头无凹陷、溢液,双侧乳房皮肤未见“酒窝征”或橘皮外观。右乳外上象限可扪及一质韧肿块,约3*3*2cm,边界欠清,欠活动,无压痛。左乳未扪及肿块。右侧腋窝可触及质韧淋巴结,大小约1.5*1.0cm,左侧腋窝及双侧锁骨上未扪及肿大淋巴结。
 
▌影像学检查
 
2021-12-01,乳腺彩超:右乳外上象限腺体层内查见大小约43×17×37mm的低回声团,边界不清,形态不规则,内回声不均匀,可见点状强回声,团块侵及脂肪层、腺体层,浅面与乳头分界不清,深面与乳腺后间隙分界不清,CDFI:内可见点条状血流信号,右乳实性占位,BI-RADS 5类;右侧腋窝查见数个淋巴结,较大者约9×6×10mm,皮质增厚,皮髓质分界欠清。
 
2021-11-30,钼靶:右乳外上象限较高密度肿块影,有浅分叶,约1.4×1.3cm大小,其内及邻近簇状分布细小多形钙化,符合乳腺癌诊断,BI-RADS 6类。右腋下见增大淋巴结影,约1.8cm直径大小。(图1)
 
图1.钼靶(2021-11-30)
 
2021-12-01,乳腺MR:右乳外上象限腺体内(约9-12点钟方向,前中带区)见一异常信号肿块影,大小约3.9×2.7cm,符合乳腺癌表现(BI-RADS 6类),侵及邻近皮肤及乳头。右侧腋窝数个增大及稍大淋巴结,较大者大小约为2.1×1.3cm,考虑转移。
 
图2.乳腺MR(2021-12-01)
 
2021-12-1,心电图:窦性心律,轻度逆钟向转位。
 
2021-12-1,心脏彩超:EF 62%,二尖瓣轻度反流,左室收缩功能值正常。
 
2021-12-1,腹部彩超:肝胆胰脾肾未见明显异常。
 
2021-12-1,头颅+胸部CT:左肺下叶外基底段微小结节,右肺中叶内侧段及左肺上叶下舌段少许斑片条索影,炎性可能,随诊;颅脑内未见确切异常。
 
2021-12-3,全身骨显像:未见明显骨质代谢异常征像。
 
▌穿刺病理
 
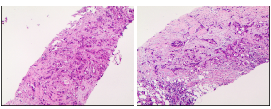
<右乳肿块>穿刺结果:浸润性癌,倾向非特殊型,Ⅱ级。免疫组化:ER(65%++),PR(70%+++),CerbB-2(3+),Ki67(40%+),AR(70%++),P53(70%弱+),SOX-10(-),CK5/6(-),P63(-),GATA-3(+),P120(膜+),E-Ca(+)。
 
图3.HE染色(右乳肿块)
 
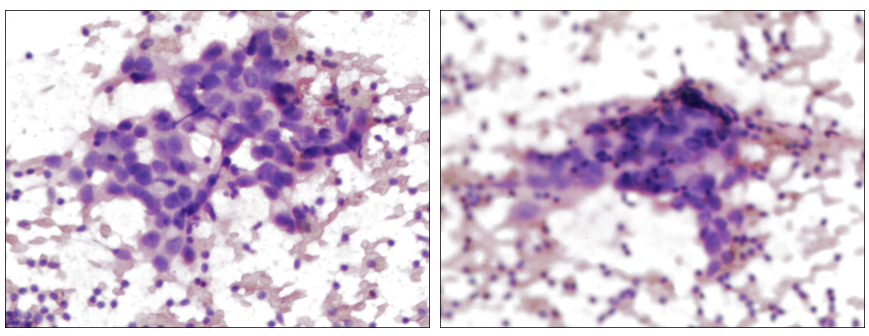
<右腋淋巴结>超声引导下穿刺涂片:查见癌细胞,符合转移。
 
图4.HE染色(右腋淋巴结)
 
▌诊断
 
右乳浸润性癌cT4aN1M0,ⅢB期,HER2阳性(HR阳性)。建议先行新辅助化疗后再行手术治疗,并予以OFS抑制卵巢功能。
 
治疗经过
 
2021年12月~2022年03月予以PCbHP方案新辅助治疗*6周期(紫杉醇(白蛋白结合型)+卡铂+汉曲优+帕捷特),戈舍瑞林抑制卵巢功能,化疗后予以聚乙二醇化重组人粒细胞刺激因子注射液预防性升白细胞治疗。
 
2022-1-20,第3周期新辅助化疗后复查乳腺彩超:右乳外上象限腺体层内查见大小约22×8×28mm(前次大小约43×17×37mm)的低回声团,边界不清,形态不规则,内回声不均匀,可见点状强回声,团块侵及脂肪层、腺体层,浅面与乳头分界不清,深面与乳腺后间隙分界不清,CDFI:内可见点条状血流信号,BI-RADS 6类;右侧腋窝查见数个淋巴结,较大者约7×13mm(前次大小约9×6×10mm)。
 
2022-4-18,第6周期新辅助化疗后复查乳腺彩超:右乳外上象限腺体层内查见大小约27×10×24mm(前次约22×8×28mm)的低回声团,边界不清,形态不规则,内回声不均匀,可见点状强回声,团块侵及脂肪层、腺体层,浅面与乳头分界不清,深面与乳腺后间隙分界不清,CDFI:内可见点条状血流信号,BI-RADS 6类;右侧腋窝查见数个淋巴结,较大者约9×8×8mm(前次大小约9×8×7mm)。
 
2022-4-19,乳腺MR:右乳外上象限腺体内(约9-12点钟方向,前中带区)条片影,大小约2.5×0.7cm,较前明显缩小、强化减低。右侧腋窝数个小淋巴结,较大者短径约0.5cm,较前缩小。
 
图5.乳腺MR(2022-4-19)
 
2022年04月20日在全麻下行“右乳癌改良根治术+胸壁缺损修复术”,术后病理:新辅助治疗反应评估(Miller-payne分级系统):5级:切片上肿瘤部位未见恶性肿瘤。病理学分期:ypTisN0Mx;淋巴结转移情况总计(阳性淋巴结/淋巴结总数):0/15;
 
治疗后评价:(右乳癌新辅助治疗后肿物)病理完全缓解。
 
后续治疗:1.胸壁及局部放疗2.继续汉曲优+帕捷特双靶治疗3.OFS+来曲唑内分泌治疗。
 
▌病例小结
 
该乳腺癌患者诊断为右侧乳腺浸润性癌,临床分期为cT4aN1M0,ⅢB期,免疫组化结果显示,HR阳性、HER2阳性,经新辅助治疗方案PCbHP6个周期治疗,新辅助治疗3周期及6周期后评估临床疗效为PR,术后病理结果为MP分级5级,新辅助治疗疗效达pCR。术后辅助阶段继续使用汉曲优联合帕捷特双靶治疗至1年,由于该患者HR阳性,术后予以OFS+来曲唑内分泌治疗。
 
专家点评
 
HER2阳性乳腺癌是一种高侵袭性乳腺癌,随着抗HER2靶向药物的不断发展,使得此类患者的生存及预后得到了显著改善,而曲妥珠单抗目前仍是HER2阳性乳腺癌治疗的基石。
 
本案例中,该患者确诊为右侧乳腺浸润性癌,临床分期为cT4aN1M0,ⅢB期,患者局部晚期,但无远处转移病灶,根据NCCN、CSCO等国内外权威指南,患者有新辅助化疗指针,结合该患者免疫组化结果,根据CTNeoBC荟萃分析,证实HER2乳腺癌患者经新辅助治疗后疗效达到pCR,患者OS可明显获益[1]。对于HR阳性、HER2阳性患者,虽然两条信号通路之间存在可能会相互影响,但是靶向联合内分泌新辅助治疗尚处于探索阶段,结果并不十分一致。KRISTINE研究证明TCbHP方案在新辅助治疗中的有效性和安全性[2],且TRAIN-2研究显示与含蒽环方案相比,TCbHP方案可以获得相同的pCR率,但在中性粒细胞减少等毒性反应上明显更低[3]。遂该患者新辅助治疗方案考虑选择紫杉、卡铂联合双靶治疗。依据GBG69研究结果提示,新辅助治疗中白蛋白紫杉醇比溶剂型紫杉醇有更高的pCR率,同时可改善患者DFS[4],遂予以该患者PCbHP方案新辅助治疗6周期,术后新辅助疗效评估为完全缓解。针对患者术后治疗,根据NCCN、CSCO以及CACA-CBCS指南,患者为HER2阳性乳腺癌,新辅助治疗疗效达到pCR,术后辅助阶段继续使用汉曲优联合帕捷特双靶治疗至1年。此外,该患者HR阳性,术后需予以OFS+来曲唑内分泌治疗。
 
本案例中患者使用汉曲优+帕捷特双靶联合化疗新辅助治疗,临床疗效显著,副反应可控,充分印证了生物类似药汉曲优在临床中可替代原研药曲妥珠单抗使用,为生物类似药的应用提供了很好的参考。
 
▌参考文献
 
[1]Von Minckwitz G,Untch M,Blohmer JU,et al.Definition and impact of pathologic complete response on prognosis after neoadjuvant chemotherapy in various intrinsic breast cancer subtypes.J Clin Oncol.2012 May 20;30(15):1796-804.
 
[2]van Ramshorst MS,van der Voort A,van Werkhoven ED,et al.Neoadjuvant chemotherapy with or without anthracyclines in the presence of dual HER2 blockade for HER2-positive breast cancer(TRAIN-2):a multicentre,open-label,randomised,phase 3 trial.Lancet Oncol.2018 Dec;19(12):1630-1640.
 
[3]Hurvitz SA,Martin M,Jung KH,et al.Neoadjuvant Trastuzumab Emtansine and Pertuzumab in Human Epidermal Growth Factor Receptor 2-Positive Breast Cancer:Three-Year Outcomes From the Phase III KRISTINE Study.J Clin Oncol.2019 Sep 1;37(25):2206-2216.
 
[4]Untch M,Jackisch C,Schneeweiss A,et al.Nab-paclitaxel versus solvent-based paclitaxel in neoadjuvant chemotherapy for early breast cancer(GeparSepto-GBG 69):a randomised,phase 3 trial.Lancet Oncol
 
2016 Mar;17(3):345-356.
 
病例作者简介
冉冉
外科学硕士,四川省肿瘤医院乳腺外科中心,医师
主要从事乳腺疾病相关诊断及治疗工作
成都市抗癌协会肿瘤整合医学专委会委员
成都市抗癌协会临床科研与转化医学专委会委员
四川省预防医学会乳腺疾病分会秘书
 
点评专家简介
王浩
博士,副主任医师,硕士研究生导师
四川省肿瘤医院,乳腺科副主任兼一病区主任
毕业于中南大学湘雅医学院
加拿大麦吉尔大学访问学者
中国抗癌协会乳腺癌专委会青年专家
中国医师协会乳腺外科医师专委会青年委员
中华医学会肿瘤学分会乳腺肿瘤学组青年委员
成都市抗癌协会临床科研与转化医学专委会主任委员
JCO中文版乳腺肿瘤专刊青年编委

本内容仅供医学专业人士参考


乳腺癌

分享到: 更多